How Long Does Gingivitis Last?
Gingivitis is one of the most common oral health conditions, and yet it remains one of the most misunderstood. If you've recently been told you have gingivitis, your first question is likely: how long does gingivitis last?
The answer depends on a few key factors: how early it's caught, how consistent your oral care routine is, and what tools you use to treat it.
The good news? Gingivitis is reversible. And with the right approach, it doesn’t have to last long at all.
Get the toothpaste that will reduce the duration the most.

What Is Gingivitis?
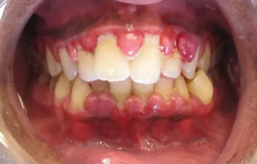
Gingivitis is the earliest stage of gum disease (also known as periodontal disease). It’s marked by inflammation of the gums, typically caused by the buildup of plaque along the gumline. Left untreated, gingivitis can evolve into more serious conditions like periodontitis, where the gums pull away from the teeth and even bone loss can occur.

Common symptoms of gingivitis include:
-
Red, swollen gums
-
Bleeding when brushing or flossing
-
Tender or sensitive gum tissue
-
Bad breath (halitosis)
We made a toothpaste specifically to correct gum disease.
How Long Does Gingivitis Last?
Mild to moderate gingivitis can be reversed within 10 to 14 days if treated early and aggressively with proper care. More advanced gingivitis might take several weeks to resolve. The key is consistency.
Factors that influence healing time include:
-
Your oral hygiene routine
-
The type of toothpaste you use
-
Diet and nutrition
-
Overall immune and inflammatory health
-
Whether or not you address root causesIt will last a lot less long if you use our products

Why Most Toothpaste Doesn’t Help Gingivitis
Unfortunately, most commercial toothpaste only focuses on cleaning and whitening, not on healing. They’re filled with ingredients like:
-
Glycerin, my coat the teeth and interrupt key oral microbiome elements
-
Sodium lauryl sulfate (SLS), a foaming agent that can irritate gums
-
Artificial sweeteners, flavors, and colors Disrupt oral microbiome and cause inflammation.
-
Preservatives and fillers with no healing value, usually only further harm tissues.
These ingredients can actually make gingivitis worse over time by irritating your already sensitive gum tissue.
How to Get Rid of Gingivitis Faster
If you want gingivitis to go away and stay away, you need to:
-
Clean effectively (without being harsh)
-
Nourish the gums and oral tissue
-
Balance the oral microbiome
That’s exactly what our periodontal toothpaste was designed to do.
The Toothpaste That Helps Gingivitis Go Away for Good
Our TranscenDental Mouth Paste isn’t just toothpaste. It’s a complete gum regeneration and remineralization system in one.
Here's why it works:
-
15% Hydroxyapatite: Clinically proven to remineralize enamel and reduce sensitivity
-
Hyaluronic Acid: Deeply hydrates and supports soft tissue repair
-
Buffered Vitamin C: Fights oxidative stress and supports collagen production
-
Vitamin E: Powerful antioxidant that protects gum tissue
-
Black Cumin Seed Oil: Traditional anti-inflammatory and antibacterial powerhouse
-
Methylated B Vitamins: Including B9, B12, and biotin to nourish epithelial cells
-
Gotu Kola, Yarrow, Comfrey, Ginseng: Herbal allies that stimulate tissue repair and reduce inflammation
-
Xylitol: Prevents plaque formation and supports a balanced oral microbiome
Each ingredient was chosen not just to clean, but to heal.
And yes, it’s fluoride-free, SLS-free, glycerin-free, and completely safe to swallow.
Nutrition Matters Too
Don’t forget: what you eat impacts your oral health. Nutrient-dense, anti-inflammatory foods can help gingivitis resolve faster. Consider adding:
-
Grass-fed organ meats (especially kidney and liver)
-
Raw dairy
-
Bone broth
-
Fermented vegetables
These support tissue repair, microbiome diversity, and immune modulation.
Check out the cultured cafe to have your fill of fermented goodies.
So... How Long Does Gingivitis Last?
With the right toothpaste, better nutrition, and consistent care:
As little as 10 days.
But without the right support, it can linger for months and progress to something more serious.
Don’t wait.
Treat gingivitis at the source. Heal your gums. Restore your mouth.





